Extractions at Margaret River Dental

 
 

Gentle and Professional Tooth Removal in Margaret River

At Margaret River Dental, our goal is always to save and protect your natural teeth wherever possible. However, in some cases, removing a tooth may be the best option to protect your oral health, relieve pain, and prevent future complications.

We provide a full range of extraction services — from simple tooth removal to complex surgical procedures — right here at our clinic.

Expert Care for Complex Extractions

For patients who require more advanced care, we are fortunate to have Dr Joachim Peermamode, a highly skilled dentist who regularly visits Margaret River Dental. Dr Peermamode has extensive experience in performing:

  • Complex extractions

  • Wisdom teeth removal (all four teeth if required)

  • Surgical extractions involving impacted teeth

With his training and gentle approach, patients can feel confident they’re in safe hands when undergoing more complicated procedures.


When Might a Tooth Extraction Be Needed?

Tooth extractions are usually recommended when:

  • A tooth is severely decayed or damaged beyond repair

  • Wisdom teeth are impacted, infected, or causing crowding

  • A tooth is affected by advanced gum disease

  • Teeth need to be removed to prepare for orthodontic treatment or dentures

  • There is a fractured tooth that cannot be restored

What to Expect During Your Extraction

  1. Consultation & X-rays – We’ll assess your tooth, explain your options, and ensure you understand the procedure.

  2. Comfort & Anaesthesia – Local anaesthetic (and sedation if required) will ensure the procedure is as pain-free as possible.

  3. Tooth Removal – A simple or surgical extraction will be performed depending on your needs.

  4. Aftercare Guidance – We’ll provide clear instructions to help you heal quickly and comfortably.

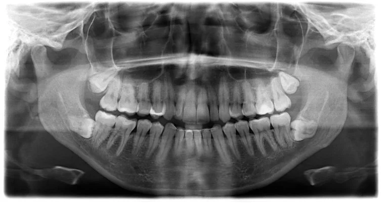
Tooth extraction Margaret River

Wisdom Teeth Removal

Wisdom teeth (third molars) often erupt during the late teens or early twenties. In many cases, they can become impacted, grow at the wrong angle, or cause infections and discomfort.

At Margaret River Dental, Dr Joachim Peermamode provides:

  • Careful assessment using dental X-rays

  • Gentle surgical removal of impacted wisdom teeth

  • Sedation and pain management options to ensure comfort

 

Why Choose Margaret River Dental for Extractions?

  • Onsite Expertise – General and surgical extractions performed in-clinic

  • Visiting Dentist – Dr Joachim Peermamode for complex and wisdom teeth extractions

  • Modern Technology – Digital imaging for precise treatment planning

  • Gentle Approach – We prioritise your comfort every step of the way

  • Comprehensive Care – From initial consultation to follow-up support

Book Your Extraction Consultation

If you’re experiencing dental pain, infection, or need your wisdom teeth assessed, our team at Margaret River Dental is here to help.

📞 Call us today on 9757 2010 or book online to schedule an appointment with our friendly team.